Our esthetic fillings and crowns are crafted to provide both durability and a natural, polished appearance your child will feel good about. We offer modern, tooth-colored materials chosen for their strength, beauty, and safety. During every step, our gentle touch and family-first approach help your child feel relaxed and supported.

We offer beautiful tooth-colored fillings, durable pediatric crowns, and protective sealants — all delivered with a gentle, child-focused approach to keep little smiles healthy and confident.

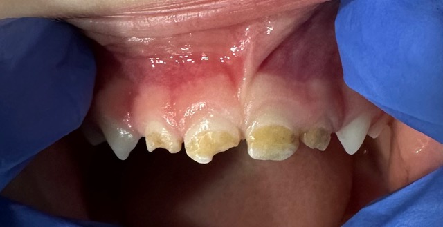
When small cavities appear, we use esthetic, tooth-colored materials to repair the area in the most natural and minimally invasive way possible.
Our gentle approach ensures your child stays comfortable throughout the visit, while our high-quality fillings protect and strengthen the tooth for years to come.
We always choose the safest, most effective material for your child’s specific needs.
When a cavity is too large for a filling, a pediatric crown provides the strength and protection a tooth needs to stay healthy.
At Luce Tooth, we offer both stainless steel and beautiful tooth-colored zirconia crowns, giving each family the option that fits their child’s needs and smile.
Our gentle, evidence-based approach ensures your child stays comfortable while we restore the tooth to full function, durability, and confidence.
Sealants are a quick, painless way to protect your child’s back teeth from cavities by smoothing over the deep grooves where bacteria like to hide.
Our pediatric dentists apply a thin, protective coating that makes teeth easier to keep clean and helps prevent decay before it starts.
It’s one of the simplest and most effective steps you can take to support long-term oral health.




Founded by husband-and-wife team Dr. Amy Luce and Dr. Aaron Scheps, Luce Tooth Pediatric Dentistry was built on the belief that every child deserves gentle, personalized care in a place that feels like home. From your first visit, you’ll experience a welcoming environment where families are heard, comfort comes first, and little smiles shine bright.
Learn More About Us





