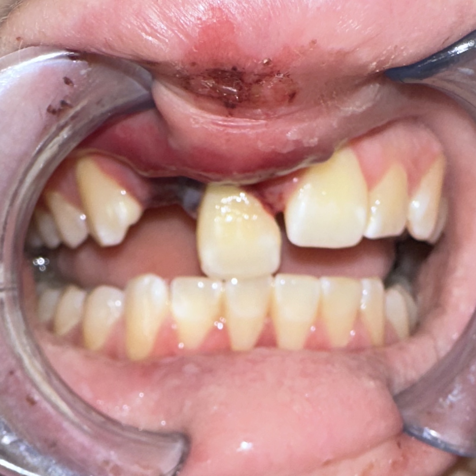
Have a dental emergency? Give us a call right away!
Fast, gentle, modern technique focused care for toothaches, injuries, and urgent dental needs.

Urgent dental needs can feel overwhelming, but our team brings calm, clarity, and comfort when you need it most. With a gentle touch and a family-first mindset, we make sure your child receives fast, reassuring care right away.

During urgent dental situations, we understand that fear and anxiety can make an already stressful moment feel even harder for children and parents.
Our board-certified pediatric dentists are fully trained to provide safe, age-appropriate sedation options that help your child relax and feel comfortable while we address the problem quickly and gently.
Whether your child benefits from nitrous oxide, oral conscious sedation, or IV sedation with a pediatric anesthesiologist, we will recommend the option that ensures the safest, calmest experience for your family.










Founded by husband-and-wife team Dr. Amy Luce and Dr. Aaron Scheps, Luce Tooth Pediatric Dentistry was built on the belief that every child deserves gentle, personalized care in a place that feels like home. From your first visit, you’ll experience a welcoming environment where families are heard, comfort comes first, and little smiles shine bright.
Learn More About Us





